Die wenigsten Menschen kommen von Natur aus in den Genuss schöner, perfekt stehender Zähne. Ausgeprägte angeborene Kieferfehlstellungen sind schon im Kindergartenalter offensichtlich, zu große Zähne oder ein zu kleiner Kiefer sind oft ab dem Grundschulalter sichtbar. Auch durch Daumenlutschen oder vorzeitigen Verlust von Milchzähnen können Fehlstellungen eintreten.
Je früher eine Kiefer- oder Zahnfehlstellung bemerkt wird, desto leichter lässt sie sich beheben.
Manche Menschen ertragen viele Jahre schief stehende Zähne und fühlen sich dabei unwohl und sind gehemmt. Dazu besteht kein Grund. Die Kieferorthopädie kann Ihnen zu einem schönen Lachen verhelfen.
Dank neuester Hightech-Materialien sind wir in der Lage, Ihre Behandlung so schnell, effizient und angenehm wie möglich zu gestalten. In Verbindung mit diesen Materialien kann in vielen Fällen sogar auf das Entfernen von bleibenden Zähnen verzichtet werden.
Sie wünschen nicht, dass Ihre Mitmenschen Ihre Zahnspange bemerken? Kein Problem, wir können sie "nahezu unsichtbar" machen.
BEHANDLUNGSABLAUF
Der erste Termin
Beim ersten Termin werden die Zahnstellung im Ober- und im Unterkiefer sowie der Biss überprüft und besprochen, ob eine kieferorthopädische Behandlung zum gegebenen Zeitpunkt sinnvoll ist. Falls dies der Fall ist und Sie eine Behandlung wünschen, werden Fotos, Röntgenbilder und Abformungen oder auch auf Wunsch ein Scan des Gebisses erstellt. Zusätzlich werden die Lage der Zunge beim Schlucken und Sprechen sowie das Kiefergelenk manuell genau untersucht. So kann man meist gleich einen groben Ausblick auf die notwendige Behandlung geben. Dies alles ist vollkommen schmerzfrei.
Bitte bringen Sie alle eventuell vorhandenen Röntgenbilder des Kopfes beziehungsweise der Zähne mit. Die Bilder sollten nicht älter als zwölf Monate sein. Für einen ersten Termin sowie für Folgetermine bei uns ist keine Überweisung von einem Zahnarzt notwendig.
Planungsphase
Die Fotos, Röntgenbilder und Modelle werden am Computer mit speziellen Diagnoseprogrammen digital ausgewertet. Wir erstellen einen detaillierten Behandlungsplan und schicken diesen für gesetzlich Versicherte zu Ihrer Krankenkasse zur Genehmigung. Als privat Versicherter erhalten Sie den Behandlungsplan zur Vorlage bei Ihrer Versicherung bzw. Beihilfestelle.
Besprechungs-Termin
Bei einem speziellen Besprechungstermin erklären wir Ihnen detailliert und ausführlich alle Schritte Ihrer Behandlung. Behandlungsalternativen werden abgewogen und mit Ihnen diskutiert. Gleichzeitig zeigen wir Ihnen alle geplanten Behandlungsgeräte.
Behandlungsbeginn und -ablauf
Nach Abklärung der Kostenübernahme wird die Behandlung zügig begonnen. Eine Kontrolle des Behandlungsverlaufes erfolgt in der Regel alle vier bis acht Wochen.
Behandlungsende und Stabilisierungsphase
Nach der Behandlung mit einer festen Zahnspange werden alle Apparaturen entfernt und die Zähne gründlich gereinigt. Für ein bis zwei Jahre trägt man nachts eine herausnehmbare Spange, um die Zähne in ihrer neuen Position zu fixieren. Zusätzlich empfehlen wir jedem Patienten dringend einen kleinen, dünnen Draht (Retainer genannt), der - von außen nicht sichtbar - an den Innenflächen der Unter- bzw. Oberkieferfrontzähne angeklebt wird, um diese dauerhaft gerade zu halten.
oder auch auf Wunsch ein Scan
Wir empfehlen, jedes Kind im Alter von zirka sechs Jahren erstmals einem Kieferorthopäden zu einer Routineuntersuchung vorzustellen. Oft zeigt zum Beispiel eine kurze Behandlung mit einer herausnehmbaren Spange große Wirkung und verhindert später eine aufwändigere Behandlung.
Spätestens im Alter von neun Jahren sollte sich jedes Kind einmal vom Kieferorthopäden untersuchen lassen, denn viele Fehlstellungen kann man kurz vor beziehungsweise während der Wachstumsphase effektiv beeinflussen und korrigieren.
Für eine kieferorthopädische Beratung bzw. Behandlung ist keine Überweisung durch einen Zahnarzt notwendig.
Als Behandlungsgeräte stehen uns sowohl herausnehmbare, als auch festsitzende Geräte zur Verfügung. Unsere Erfahrung zeigt, dass in den meisten Fällen mit einer Kombination beider Apparaturen die besseren und stabileren Resultate erreicht werden. So lässt sich durch eine Vorbehandlung mit einer herausnehmbaren Spange oftmals die Zeit der festen Zahnspange reduzieren.
KASSENPATIENT
Voraussetzung für eine Kostenübernahme durch die gesetzlichen Krankenkassen ist die Erfüllung der jeweiligen KIG-Kriterien (Kieferorthopädische Indikationsgruppen). Diese bestimmen wir bei unserer Anfangsuntersuchung und teilen Ihnen mit, ob eine Kostenübernahme durch Ihre Krankenkasse möglich ist. Hierfür darf in der Regel das 18. Lebensjahr bei Beginn der Behandlung noch nicht erreicht sein.
Die gesetzlichen Krankenkassen bezahlen für Kinder und Jugendliche eine Behandlung, welche "ausreichend, wirtschaftlich und zweckmäßig" ist. Diese darf "das Maß des Notwendigen nicht überschreiten" (SGB V, § 12).
Das ist weit mehr als in unseren Nachbarländern. Über zusätzliche, medizinisch sehr sinnvolle, aber nicht im Leistungskatalog der Gesetzlichen Krankenversicherungen enthaltene Maßnahmen, geben wir Ihnen gerne Auskunft.
PRIVATPATIENT
Die Behandlungen richten sich in Dauer und Umfang stets nach den jeweiligen Erfordernissen der Zahn- und Kieferfehlstellung und den individuellen Bedürfnissen der Patienten.
Die Zeiten, in denen Kieferorthopädie nur Kindern vorbehalten war, sind vorbei. Dank modernster High-Tech-Materialien können Zähne gut und schonend auch durch den festeren Knochen von Erwachsenen - egal welchen Alters - bewegt werden. Es ist nie zu spät für ein strahlendes Lächeln.
Sie möchten nicht, dass Ihre Mitmenschen Notiz von Ihrer kieferorthopädischen Behandlung nehmen? Kein Problem! Wir bieten Ihnen neben zahnfarbenen Keramikbrackets verschiedene Alternativen von nahezu unsichtbaren Zahnspangen:
PRÄPROTHETISCHE KIEFERORTHOPÄDIE
Sie benötigen eine Krone, Brücke oder ein Implantat?
Die enge Zusammenarbeit zwischen Ihrem Zahnarzt und uns kann folgende Vorteile für Sie haben: Wir optimieren Ihren Biss mit einer Zahnspange und anschließend versorgt Sie Ihr Zahnarzt zum Beispiel mit einer Brücke. So können unter Umständen eine Wurzelbehandlung vermieden oder Implantate an Stellen gesetzt werden, die ohne kieferorthopädische Behandlung nicht möglich wären.
Wenn Zähne durch Zahnfleischschwund geschwächt sind, ist es wichtig, diese aufzurichten und dadurch Schmutznischen zu beseitigen. Fragen Sie Ihren Zahnarzt oder uns, wie wir Sie und ihn unterstützen können.

Mit der Invisalign®-Technik sind wir in der Lage, Ihre Zähne Schritt für Schritt zu begradigen – und das für den Laien nahezu unsichtbar.
Sie erhalten je nach Ausprägung Ihrer Fehlstände eine bestimmte Anzahl von dünnen, durchsichtigen Schienen. Diese werden in einem spezialisierten Labor hergestellt.
Jede Schiene bewegt Ihre Zähne 0,1 – 0,2 mm weiter in die gewünschte Richtung. Dies können wir Ihnen anhand einer Computersimulation verdeutlichen.
Da die Schienen nahezu durchsichtig sind, ist es ohne weiteres möglich, sie ganztags (mit Ausnahme beim Essen) zu tragen. Bei konsequenter Mitarbeit ergibt sich ein sehr angenehmer und rascher Behandlungsverlauf.
HERAUSNEHMBARE ZAHNSPANGEN
Herausnehmbare Zahnspangen kann man grob in zwei Gruppen einteilen:
Lose Spangen, die der Bewegung von einzelnen Zähnen oder der Retention (Stabilisierung des Behandlungsergebnisses) dienen.
Die zweite Gruppe der herausnehmbaren Spangen sind Spangen aus Kunststoff, die beim Heranwachsenden die Stellung von Ober- und Unterkiefer zueinander sanft korrigieren sollen (Funktionskieferorthopädie). Da hier nur körpereigene Kräfte im Sinne einer ganzheitlichen Therapie wirken, ist diese Art der Bissverschiebung besonders schonend und gewebeverträglich.
Wir bieten Ihnen alle herausnehmbaren Spangen in verschiedenen Farben an. Eine Sonderstellung bei den herausnehmbaren Zahnspangen nehmen die unsichtbaren, durchsichtigen Invisalign®-Schienen ein.
Mit der Invisalign®-Technik sind wir in der Lage, Ihre Zähne Schritt für Schritt zu begradigen – und das für den Laien nahezu unsichtbar.
Sie erhalten je nach Ausprägung Ihrer Fehlstände eine bestimmte Anzahl von dünnen, durchsichtigen Schienen. Diese werden in einem spezialisierten Labor hergestellt.
Jede Schiene bewegt Ihre Zähne 0,1 – 0,2 mm weiter in die gewünschte Richtung. Dies können wir Ihnen anhand einer Computersimulation verdeutlichen.
Da die Schienen nahezu durchsichtig sind, ist es ohne weiteres möglich, sie ganztags (mit Ausnahme beim Essen) zu tragen. Bei konsequenter Mitarbeit ergibt sich ein sehr angenehmer und rascher Behandlungsverlauf.
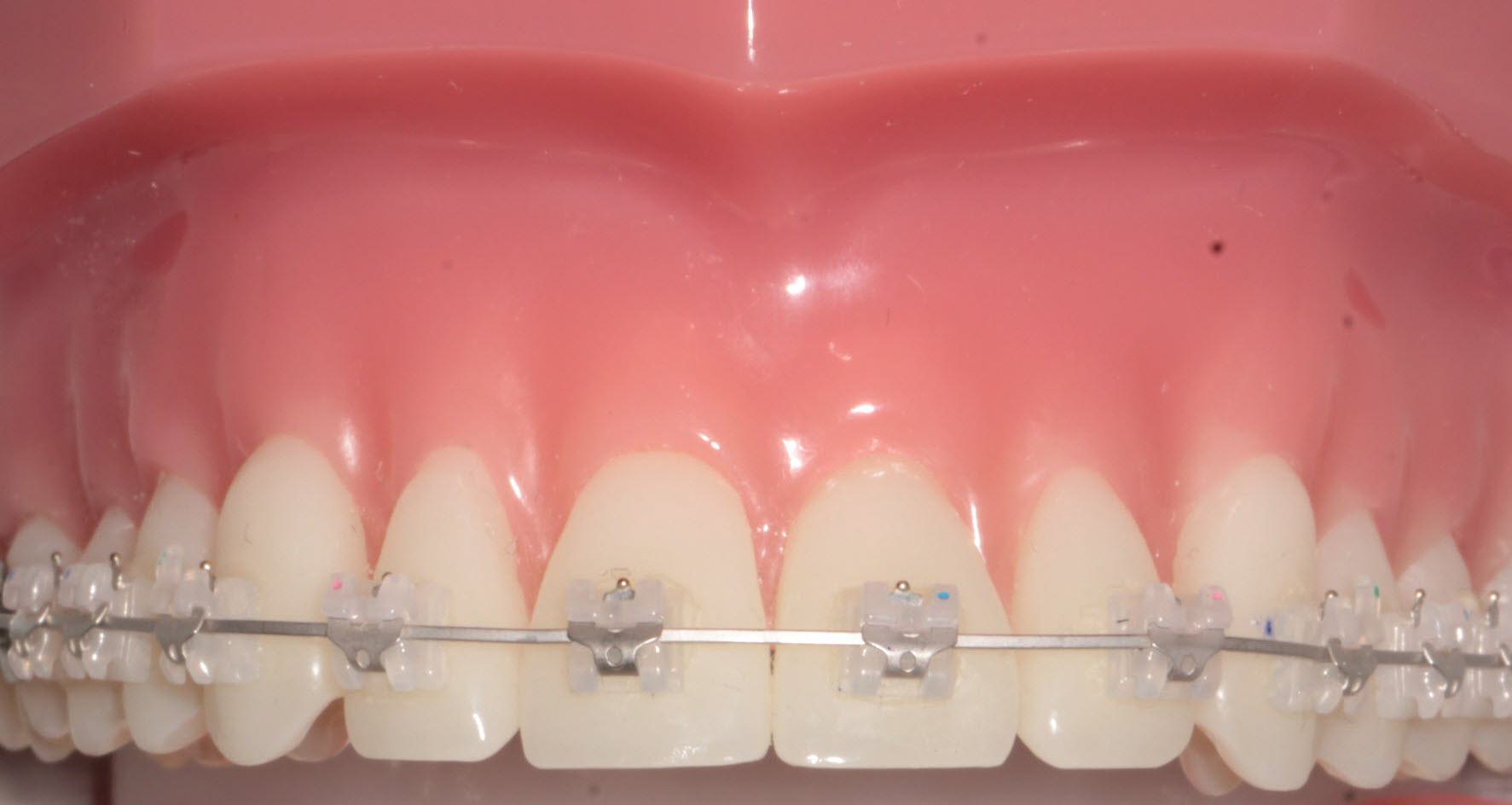
FESTSITZENDE ZAHNSPANGEN
Diese werden in aller Regel an der Außenseite der Zähne aufgeklebt, kann aber auch auf die Innenseite der Zähne geklebt werden und somit wir die Spange „unsichtbar“.
Es existieren zwei Arten von modernen Brackets:
1) Konventionelle Brackets, bei welchen man den Bogen mit Hilfe eines Gummis im Bracketschlitz befestigt. Durch dieses „Hineindrücken“ erhöht sich allerdings der Widerstand, den der Zahn einer Bewegung am Bogen entlang entgegensetzt. Daraus ergibt sich oft eine längere Behandlungszeit.
2) Selbstligierende Brackets, z. B. Damon-Brackets® sind eine Weiterentwicklung nach dem aktuellen Stand der Wissenschaft. Diese Brackets haben eine Klappe integriert, welche nach Einsetzen des Bogens einfach geschlossen wird. Da in diesem Fall keine Gummis zur Befestigung benötigt werden, sinkt der Reibewiderstand auf ein Minimum. Zahnbewegungen wie ein Schließen von Lücken laufen dadurch schneller und schonender ab, die Behandlung wird als sanfter und angenehmer empfunden. Durch die „leichtere Zahnbewegung“ kann oftmals das ungeliebte Ziehen von Zähnen vermieden werden. Zudem entfallen die Gummis als Schmutznische, denn dort sammelt sich erfahrungsgemäß mehr Zahnbelag an. Beide Arten von Brackets sind auch in Keramik – also zahnfarben – erhältlich.
Damon-Brackets®
Experience-Keramik-Brackets
Experience-Metall-Brackets
Welche Materialien am besten für Sie oder Ihr Kind geeignet sind, besprechen wir gemeinsam bei einem persönlichen Beratungstermin.
Ebenso wichtig wie die Wahl der Brackets ist die Wahl der Bögen. Relativ starre Drähte aus Stahl verkanten und knicken leicht und üben bisweilen hohe Kräfte auf die Zähne aus. Hochflexible, superelastische, hitzeaktivierbare Drähte aus Titanlegierungen ermöglichen durch eine sehr niedrige und konstante Kraftabgabe eine äußerst schonende, schmerzarme Behandlung.
Was ist bei einer festen Zahnspange wichtig?
Die Mundhygiene und das Essverhalten!
Zähne müssen vor Karies geschützt werden. Deshalb sollten Sie größte Aufmerksamkeit und Sorgfalt auf die tägliche Hygiene richten: Putzen Sie mindestens dreimal täglich für jeweils zirka zehn bis fünfzehn Minuten nach jedem Essen Ihre Zähne und verwenden dabei auch spezielle Bürstchen für die Zahnzwischenräume.
Wenn Sie nur selten oder gar nicht zucker- und säurehaltige Nahrungsmittel zu sich nehmen, reduzieren Sie ebenfalls die Gefahr, Karies zu bekommen.
Zum weiteren Schutz der Zähne empfehlen wir Ihnen eine Oberflächenversiegelung der Zähne. Zudem sollten Sie während der Phase der festen Zahnspange zweimal wöchentlich Ihre Zähne mit einer speziellen fluoridhaltigen Zahnpasta putzen und täglich eine Mundspüllösung verwenden.
Wir bitten Sie, weiterhin zweimal pro Jahr Ihren Zahnarzt zur Routineuntersuchung und Prophylaxe aufzusuchen.
UNSICHTBARE ZAHNSPANGEN
Mit der Invisalign® - Technik sind wir in der Lage, Ihre Zähne Schritt für Schritt zu begradigen - und das für den Laien nahezu unsichtbar.
Sie erhalten je nach Ausprägung Ihrer Fehlstände eine bestimmte Anzahl von dünnen, durchsichtigen Schienen. Diese werden in einem spezialisierten Labor in Amerika hergestellt.
Jede Schiene bewegt Ihre Zähne 0,1 - 0,2 mm weiter in die gewünschte Richtung. Dies können wir Ihnen anhand einer Computersimulation verdeutlichen.
Da die Schienen nahezu durchsichtig sind, ist es ohne weiteres möglich, sie ganztags (mit Ausnahme beim Essen) zu tragen. Bei konsequenter Mitarbeit ergibt sich ein sehr angenehmer und rascher Behandlungsverlauf.
GANZHEITLICHE KIEFERORTHOPÄDIE
Mit funktionskieferorthopädischen Spangen wie dem Bionator oder Aktivator wird bei Heranwachsenden die Stellung von Ober- und Unterkiefer zueinander sanft korrigiert. Dies geschieht mit körpereigenen Kräften und ist somit besonders schonend und gewebeverträglich.
Eine Lagekorrektur des Unterkiefers verändert über die Muskulatur sogar die Körperhaltung Ihres Kindes positiv. Wichtig für eine erfolgreiche ganzheitliche Behandlung ist das Tragen der speziellen Spangen nachmittags und nachts.
ORTHOGNATE CHIRURGIE
Bei manchen Menschen stehen der Unterkiefer oder der Oberkiefer zu weit vor oder zu weit zurück. Bei diesen stark unharmonisch gewachsenen Kiefern bietet sich eine Therapie an, die sowohl kieferorthopädische als auch kieferchirurgische Maßnahmen umfasst.
Wir Kieferorthopäden begradigen in einem ersten Schritt Ihre Zähne mit einer festen Zahnspange, der Mund-Kiefer-Gesichtschirurg positioniert dann die Kiefer korrekt zueinander. Dadurch sind funktionell und ästhetisch optimale Ergebnisse auch beim Erwachsenen möglich.
Diese Form der Behandlung wird oftmals bei Erwachsenen sogar von den gesetzlichen Versicherungen übernommen.
ALLERGIKER
Hautärzte bemerken in den letzten Jahren ein immer häufigeres Auftreten von Allergien.
Die gute Nachricht zuerst: Wegen der verdünnenden Wirkung des Speichels besteht im Mund eine weitaus größere Toleranz gegenüber Allergie auslösenden Stoffen, so dass in vielen Fällen eine Nickelallergie kein Problem für eine Behandlung darstellt.
Falls Sie sicher gehen wollen, geben wir Ihnen gerne Proben unserer verwendeten Materialien für einen Allergietest mit.
Viele Zahnkorrekturen, die früher in dieser Form nicht möglich gewesen wären, lassen sich heute dank Mini- oder Mikroschrauben einfach und problemlos durchführen. Mini- bzw. Mikroschrauben sind sehr kleine Implantate, die zwischen die Zahnwurzeln eingebracht werden. Sie werden zum Beispiel zum Schließen von Lücken verwendet, wenn Zähne nicht vorhanden sind. Es soll vermieden werden, dass sich dabei die übrigen Zähne verschieben und im Gegenkiefer ein Zahn gezogen werden muss.
Ob ein Einsatz von Mikroschrauben bei Ihnen sinnvoll und möglich ist, erfahren Sie während des Beratungsgespräches.
SPORTMUNDSCHUTZ
Diese Sportarten gefährden Ihre Zähne besonders: Handball, Kampfsport, Eishockey, Hockey, Squash, Rugby, American Football, Polo, Skirennsport und Skateboarding. Allein in den USA werden jährlich mehr als fünf Millionen Zähne beim Sport ausgeschlagen.
Daher empfehlen wir jedem Sportler, seine Zähne gegen traumatische und schwerwiegende Verletzungen zu schützen.
Je nach ausgeübter Sportart bieten wir Ihnen einen individuell hergestellten zwei- oder dreischichtigen Mundschutz an, der bis zu 60 % der einwirkenden Kraft auf die stabileren Backenzähne ableiten kann. Im Sporthandel erhältliche Mundschutze sind dazu aufgrund der Schwächung des Materials beim Erwärmen nicht in der Lage.
Auch bei folgendem Sport empfehlen wir den Sportmundschutz: Wasserball, Basketball, Fußball, Reiten und Biken. Haben Sie Spaß am Sport - aber schützen Sie dabei Ihre Zähne.
STROBL Ihre Fachzahnärzte für Kieferorthopädie | 2022 | Impressum & Datenschutz
Gestaltung & Umsetzung: Mediengestaltung








